Eko-škola Sedme beogradske gimnazije na Adi Ciganliji (FOTO)
Učenici su sa profesorima biologije, fizike i hemije uzorkovali vodu iz Savskog jezera, proučavali strukturu nanosa, tragali za mikroplastikom i analizirali hemijska svojstva vode
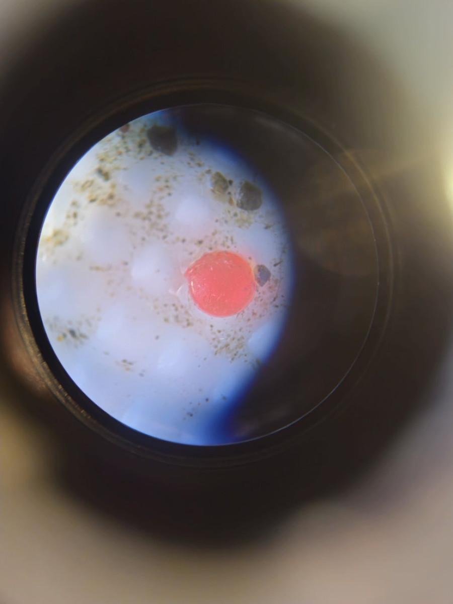
Članovi Eko-škole Sedme beogradske gimnazije, dvadeset i dvoje učenika i njihovi profesori, sproveli su u subotu, 30. septembra 2023. godine, malo istraživanje prisustva mikroplastike u vodama Savskog jezera pored Ade Ciganlije.
Eko-škola Sedme beogradske gimnazije nosilac je zelene zastave koju u ime Fondacije za edukaciju u oblasti životne sredine Saveta Evrope u Republici Srbiji dodeljuje NVO „Ambasadori održivog razvoja i životne sredine“ kao visoko priznanje školama u kojima se kontinuirano sprovode aktivnosti u oblasti zaštite i unapređenja životne sredine.
Ada Ciganlija, sa druge strane, nosilac je jedine plave zastave u našoj zemlji, međunarodno priznatog sertifikata koji se stiče na osnovu visokog kvaliteta vode, ekološkog upravljanja, bezbednosti i sprovedenih aktivnosti ekološke edukacije.
Promo
Pogledaj galeriju
Promo
Pogledaj galeriju
Promo
Pogledaj galeriju
Promo
Pogledaj galeriju
Promo
Pogledaj galeriju
Promo
Pogledaj galeriju
Promo
Pogledaj galeriju
Promo
Pogledaj galeriju
Promo
Pogledaj galeriju
Promo
Pogledaj galeriju
Učenici i profesori koji čine Eko-školu Sedme beogradske gimnazije iskoristili su lepo vreme i sproveli nekoliko obrazovnih aktivnosti na Adi. Kratko predavanje o mikroplastici, njenom nastanku, kruženju u prirodi, ekološkim i zdravstvenim posledicama prisustva mikroplastike u vodi i hrani održala je Marina Drndarski, profesorka biologije.
Učenici su sa profesorima biologije, fizike i hemije uzorkovali vodu iz Savskog jezera, proučavali strukturu nanosa, tragali za mikroplastikom i analizirali hemijska svojstva vode (rN vrednost, prisustvo nitrata, nitrita, fosfata, amonijaka). Identifikovali su, takođe, pomoću telefonskih aplikacija klasasti kročanj (Myriophyllum spicatum) koji je masovno nataložen u zoni kontakta vode sa obalom. Kupači koji su se zatekli na Adi razgovarali su sa učenicima o stanju životne sredine na Adi i interesovali se za zaključke njihovog malog istraživanja.
Tatjana Bogojević, profesorka biologije i jedna od voditeljki današnjih radionica, istakla je: „Današnje aktivnosti Eko-škole Sedme beogradske gimnazije imale su za cilj produbljivanje teorijskih znanja iz oblasti prirodnih nauka koje učenici stiču u školi, ali i razvoj njihovih praktičnih veština. Saradnja učenika i profesora, učenje uz istraživanje u prijatnom spoljnom ambijentu, promovisanje vrednosti obrazovanja i zaštite životne sredine u lokalnoj sredini, pažnja izletnika i razgovor sa njima, ulepšali su nam današnji dan vikenda. Učenici i mi, profesori, zaključili smo da je Ada Ciganlija sa pravom nosilac Plave zastave. Pitanja koja su se danas otvorila, nastavićemo da proučavamo dalje u školi.“
Bonus video
Instalirajte našu iOS ili android aplikaciju – 24sedam Vest koja vredi
Komentari